نقل 4 أطفال لمستشفى أشدود بعد ابتلاعهم قطع نقدية وأجواء ألعاب مغناطيسية
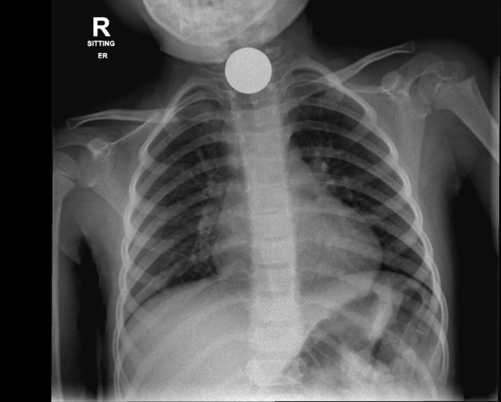
قدمت الطواقم الطبية في مستشفى " أسوتا " في أشدود، في الأيام الأخيرة، العلاج لأربعة أولاد، بعد أن ابتلعوا أجساما غريبة،
من بينها أجزاء لعبة " مغناطيس "، وقطع نقود. وقال متحدث بلسان المستشفى " ان اثنين من الأولاد الأربعة تم تسريحهم من المستشفى بعد ساعات من وصولهم اليها، لكم طفلتان ( 7 سنوات و 4 سنوات ) خضعتا لعمليات جراحية لانقاذهن ".
وفي التفاصيل، قال المتحدث بلسان المستشفى " أن الحديث يدور عن 4 أولاد، ابتلعوا أغراضا مختلفة، وانه لا علاقة بين الحوادث الأربعة".
وأشار المتحدث بلسان المستشفى الى ان ولدا آخر عمره 6 سنوات يتلقى العلاج في المستشفى أيضا في قسم العلاج المكثق بعد ان اختنق بسبب قطعة حلوى.
من جانبها، قالت د. شارن ايفنات تمير: " أتوجه لكل الأهالي وأطلب منهم: احذروا من أن الأولاد الصغار قد يبتلعون أي غرض ، وخذا قد يؤدي الى اختناقهم. ابعدوا هذه الأغراض عنهم ".

تصوير: مستشفى " أسوتا " في أشدود






من هنا وهناك
-
إمام مسجد الجزار سابقا يستنهض ضمائر المجتمع في ظل سفك الدماء: ‘الشهر المبارك امتحان للقلوب والسلوك لا للجوع والعطش‘
-
تابعوا: الحلقة التاسعة من برنامج ‘نفحات رمضانية‘
-
الشرطة تعيد طفلًا (عامان) تاه في القدس إلى والدته
-
إليكم الحلقة التاسعة من برنامج ‘من وحي رمضان‘ – تابعوا
-
تابعوا : الحلقة التاسعة من البرنامج الرمضاني ‘أنوار الإيمان‘
-
اصابة شاب تعرض للدهس في الطيبة
-
إليكم إمساكية العاشر من شهر رمضان الفضيل
-
اليكم الحلقة التاسعة من البرنامج الرمضاني ‘يوميات‘ - تابعوا
-
تقرير: المفتش العام للشرطة يتغيب عن جلسة مع الوزير بن غفير لبحث الجاهزية للحرب في ظل توتر العلاقات بينهما
-
د. ثائر أبو راس يتحدث عن الجولة الثالثة من المفاوضات الأمريكية - الايرانية





أرسل خبرا